
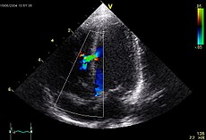
پژواکنگاری قلب یا اکوکاردیوگرافی (Echocardiography) که به آن "سونوگرافی قلب" یا "اکوی قلب" هم گفته میشود روشی غیر تهاجمی است که با استفاده از امواج صوتی، ساختمان داخلی قلب به تصویر کشیده میشود و در حقیقت به عنوان استاندارد تشخیص بیماریهای قلبی تلقی میشود.
فهرست مطالب:
تعریف اکوکاردیوگرافی
انواع اکوکاردیوگرافی
پژواک نگاری قفسه گذر
پژواک نگاری تنشی
پژواک نگاری مری گذر
پژواک نگاری قلب جنین
شرایط مادر برای لزوم انجام اکو قلب جنین
شرایط جنین برای لزوم انجام اکو قلب جنین
و...
مبلغ قابل پرداخت 32,500 تومان
فارسی ساز Disco Elysium The Final Cut ... ...
فارسی ساز Assassins Creed Black Flag نسخه PC تلگرام : ParsiTeamCH@ سایت : ParsiTeamSite.ir ... ...
فارسی ساز The Witcher 2: Assassins of Kings ... ...
فارسی ساز Dragons Dogma 2 آموزش نصب : https://parsiteamsite.ir/product13/dd2/index.html ... ...
فارسی ساز Watch Dogs Legion ... ...
دامنه (Domain) آدرس کسب و کار شماست. امروز بسیاری از افراد به دنبال خرید دامنه منقضی شده اتوریتی دار یا رنک دار هستند چرا که خرید یک دامنه رنک دار کسب و کار شما را ماه ها به جلو می اندازد و شما را سریع تر به هدفتان می رساند. اما چگونه بصورت رایگان یک دامنه اتوریتی دار مناسب ... ...
عنوان کتاب: جان شیفته (مجموعه کامل) نویسنده: رومن رولان مترجم: م.ا به آذین فرمت فایل ها: mp3 تعداد فایل ها: 4 جلد کامل حجم کل فایل ها: 953 مگابایت زبان: فارسی توضیحات: فضای داستان جان شیفته، فرانسه در ابتدای سده بیستم است و رمان وضعیت اجتماعی این دوران را برای ... ...
جلد دفتر کارنمای جابر بن حیان (با فرمت word جهت تغییر و ویرایش) نمونه ای از دفتر کار نمای جشنواره جابر بن حیانبا طراحی زیبا و مناسب برای دانش آموزان عزیز آماده شده است. به علاوه 2 هدیه از طرح های جابر تقدیم می شود ... ...
یکی از مراحل عیب یابی و رفع عیب سیستم های الکتریکی و الکترونیکی خودرو، شناخت محل دقیق پایه ها و تست سیم و یا قطعه مربوطه می باشد بدین منظور تعمیرکاران از کتابچه ها و نقشه های متعددی استفاده می کنند در اختیار داشتن چنین نقشه هایی نیازمند صرف هزینه و مطالعه کتابهای تعمیراتی ... ...
√جدیدترین آپدیت آبان ۱۴۰۴√ بسم الله الرحمن الرحیم **کسب درآمد از اینترنت روزانه تا ۲/۰۰۰/۰۰۰ میلیون تومان (تضمینی و تست شده)** ☆☆آموزش صفر تا صد کسب درآمد اینترنتی بالای ۵۰/۰۰۰/۰۰۰ میلیون تومان ماهانه، پشتیبانی ۲۴ ساعته ۷ روز هفته، ۱۰۰%حلال شرعی، کاملاً واقعی و تست ... ...
آموزش نرم افزار حسابداری شالی (شرکت داده پردازی کاشان) آدرس سایت شرکت: https://kdps.ir/ مجموعه فایل PDF آموزش نرم افزار شالی شامل حساب و انبار + تمرین و حل تمرین ... ...
مجموعه ی حاضر فایل پاورپوینت قابل ویرایش تمامی فصل های ریاضی ششم دبستان می باشد که تمامی سوالات همراه با جواب کامل بوده و توضیحات کامل هستند این فایل ها مناسب برای آموزگاران عزیز و دانش آموزان و اولیا می باشد با استفاده از این فایل ها ها به جواب سوالات فصل ها خواهید رسید هم به ...
سئوالات عربی هفتم هشتم نهم نوبت اول دارای همه نوع سوال از جمله: مهارت های ترجمه؛ واژگان؛ مکالمه؛ درک وفهم؛ قواعد طراحی بر اساس بارم بندی جدید 15نمره کتبی و 5 نمره شفاهی مطابق با اصول و شیوه های جدید طراحی سؤال تر و تمیز شسته و رُفته اعراب گذاری شده با دانلود این ... ...
پکیج فوقالعاده آموزش کسب درآمد با هوش مصنوعی بدون نیاز به تخصص | بدون سرمایه اولیه | درآمد واقعی ✅ چرا باید این پکیج رو تهیه کنید؟ ✨ کاملاً عملی و کاربردی – فقط تئوری نیست، دقیقاً قدمبهقدم نشونت میدیم چه کاری انجام بدی. ✨بدون نیاز به تجربه یا تخصص قبلی – حتی اگه ... ...
دانلود کتاب معلم نوو پریسما آ2 فایل به صورت pdf با کیفیت خوب و برای راحتی در تدریس یا آموزش کتاب نوو پریسما A2 می باشد. کتاب Nuevo Prisma A2 با ساختار جدید بر اساس متد قبلی این مجموعه جهت فراگیری زبان اسپانیایی ویژه بزرگسالان توسط انتشارات Editorial Edinumen به چاپ ... ...
دانلود حسابداری مالی دکتر یدالله تاری وردی و کلاس کنکور کارشناسی ارشد حسابداری مالی ...
فارسی ساز Crysis 3 Remastered ... ...
با نصب این فارسی ساز میتوانید بازی Hell is us رو به صورت کامل فارسی بازی کنید. ... ...
کتاب صوتی پاک زیستن انجمن معتادان گمنام NA درباره کتاب: هر روزی که ما پاک زیسته و اصول روحانی بهبودی را تمرین می کنیم, حقایق بیشتری آشکار می گردند. اولین نسخۀ کتاب پاک زیستن در سال 1983 نوشته شد اما آغاز این پروژه حتی به پیش از این تاریخ نیز مربوط می گردد. این ... ...
فایل ورد سوال قرآن هفتم هشتم نهم نوبت اول دی 1404 دارای راهنمای تصحیح/ قابل تغییر و ویرایش مجدد تر و تمیز شسته و رُفتهاعراب(حرکت) گذاری شده و دارای انواع سوالات از جمله: (سؤالات ترجمه کلمات، ترکیبات، ترجمه آیات و عبارات و مفاهیم قرآنی) چنانچه هر سه ... ...
نقشه سیم کشی قسمتهای مختلف موتورسیکلتهای پالس Pulse به صورت کاملا رنگی و بسیار با کیفیت فرمت فایل : pdf (پی دی اف) شامل 8 نقشه سیم کشی 220 و 200 سی سی 01. نقشه مدار سیم کشی نشانگر آمپر سوخت02. نقشه مدار سیم کشی چراغ ها03. نقشه مدار سیم کشی استارت04. نقشه مدار سیم کشی ... ...
دانلود جزوه روسازی راه دکتر طباطبایی شامل هر دو نسخه پی دی اف و پاورپوینتزبان:فارسیفرمت:PDF و پاورپوینت ...
در اینجا جزئیات اجرایی کمیاب از نحوه اجرا و نقشه های مقاوم سازی ستون بتنی با ژاکت فولادی را می توانید دانلود کنید... نقشه های دانلودی در فرمت فایل اتوکد dwg و قابل ویرایش هستند... شامل : دانلود دتایل اجرایی مقاوم سازی ستون بتنی با ژاکت فلزی نحوه اتصال بولت ها به ستون ... ...
دانلود کتاب"صدای خود را آزاد کنید" نوشته : راجر لاو pdf+فایلهای صوتی تمرینی همراه کتاب با یادگیری تکنیکهای ساده راجر لاو هر کسی می تواند صاحب صدایی قوی برای صحبت کردن و صوتی زیبا برای خواندن شود. او با نظریه انقلابی و ارائه مفهوم صدای میانی،شما را به دنیای جدیدی از ... ...
جزوه کامل اصول حسابداری 1 + نمونه سوالات بر اساس کتاب عبدالکریم مقدم و علی شفیع زاده منبع رشته حسابداری پیام نور در 250 صفحه به صورت فایل PDF این راهنما شامل موارد زیر است: نمونه سوالات آزمون تستی و تشریحی با جواب نکات مهم و چکیده هر فصل حل کامل تمرینات هر فصل ... ...
درباره کتاب: کتاب نظریه های شخصیت شولتز از جمله کتابها و منابع معتبری است که به مرور مختصر اما دقیق و علمی نظریه های شخصیت شناسی می پردازد. این کتاب را نمیتوان به عنوان کتابی عمومی برای مرور سطحی و سریع در نظر گرفت، اما برای کسانی که درس تخصصی رشتهی روانشناسی ... ...
اگر به یک وب سایت یا فروشگاه رایگان با فضای نامحدود و امکانات فراوان نیاز دارید بی درنگ دکمه زیر را کلیک نمایید.
ایجاد وب سایت یا